今日は定期の通院の日。
MRI検査をし、先生に診察をしてもらいました。
MRIの結果は、
以前と比べて変化は無し!!とりあえず良かったです。
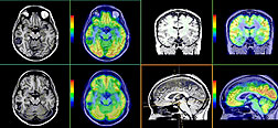
MRIの画像は、
表示の仕方で、
白や黒で映る画像や、
赤や緑などで映るカラフルな画像なんかもあります。

きれい 笑
その赤や緑などで表示した画像のものも見せてもらいましたが、
けっこうハッキリときれいに映っていました。
その表示の画像だと、
異常がある箇所は色が出てこないみたいです。
(と言ってもそれには程度があるので、
映し出される具合がどんな基準で、またどうなっているのか、
私にはわからないのですけど。。。)
で、、、
画像では異常が無くても、実際の身体には異常が出ている、
その反対に、
画像では異常として映っているのに、身体には異常が無い。
そういう事もあると、、、
私のような病気の場合もそうです。
私の場合、きれいに色が出ていて良い様に思える、
(健康体の表示ではないと思いますが、、、)
ということですが、
実際には両足とも以前より動かしにくくなっています。
うーむ。。。
一時は骨髄移植を考えましたが、
リスクが大きいのでやめました。
(手術が出来たとしても、
現段階ではALDは治る病気じゃないので 笑)
なので今は、というかずっと対症療法です。
病状が進行しないでいてくれればいいなぁ、うんうん。
何事も自分で決めて!そしてアクティブに動きたいな!!
と思ってはいても、
動いた後にやってくる疲労感を思い出して、
なかなか行動出来ない自分がいるんだなあ、、、
むー。
なーんて言っててもしょうがないので、
出来るうちは色々いっぱいやらなくちゃね 笑
PR
私の父も体調が思わしくなくって検査を受けたのですが、MRIで異常が見られなかった事が数回ありました
医療も進歩しているとは言え・・・まだまだ解明されない事も多いですね^^;
アクティブに動いた後の疲労感って…その時点でネガティブになってますよ^^;
疲労感はあっても達成感にはかなわないでしょう!
頑張りましょp(*^-^*)q
WEBLINK [ ] NAME [ ともこ #54933036c8 ] EDIT [
なはは、その通り!!
>疲労感はあっても達成感にはかなわないでしょう!
これまた、その通り!!!
^^